• A wide range of dental
    treatments under one roof
    We can repair and replace any damaged or missing teeth.
  • Hundread's of smiles
    Since 2023
    Affordable, value for money general dental care
  • The healthy smile
    through science
    and artistry.
    Maintains a highly trained, qualified and experienced Dentists.

A One-Stop Solution For all Dental Needs

Welcome to Shaheen Dental Clinic Yakutpura

Your trusted Dentist in Yakutpura offering exceptional dental services including Dental Implant, Root Canal, Braces and advanced dentistry, we pride ourselves on delivering comprehensive general dental care for patients of all ages.

Icon

Advanced Dentistry

We have Highly qualified & patient-focused team with experienced dentist.

Icon

Quality Equipment

We use modern dentistry tools to fulfill our patient's expectations

Icon

Affordable Clinic

We offer comprehensive range of treatments under the same roof.

  • 1500

    Happy Customers

    Nor again is there anyone who loves or pursues or desires obtain.

  • 4

    Expert Dentists

    Desires to obtain pain of itself, because all circumstances occur.

  • 1

    in Yakutpura

    Know pursue pleasure rationally that all consequences service.

Awesome Image

Why choose

Shaheen Dental Clinic

We are proud to offer friendly, affordable and accessible routine dentistry to all the family as well as a wide range of advanced dental services too. Our aim is to help our patients look after and make the most of their smiles.

We want to ensure that we do our very best to make our patients’ experiences pleasant. We also aim for all our patients to highly recommend us to others. We have invested in the right equipment, team and ethos to ensure the very best for our patients.

Awesome Image

Dr. Saman Khan

BDS (Root Canal Specialist)

Specialities

Dental Care Services

At the Shaheen Dental Clinic, We Deliver High-quality Routine Dental Care for All the Family.

Dental Implants

The Most Affordable dental implant treatments in Yakutpura

Children Dentistry

We welcome all children at our clinic for routine dental care

Teeth Whitening

Saheen Dental Clinic provides the best teeth whitening treatment in Yakutpura.

Orthodontic Treatment

We offer advanced treatment options like Damon Braces and Invisalign

General Dentistry

Our treatments include regular check-ups, teeth cleaning, fillings, root canals

Root Canal

Denouncing pleasure & praising pain was we will give you a completed.

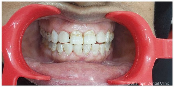
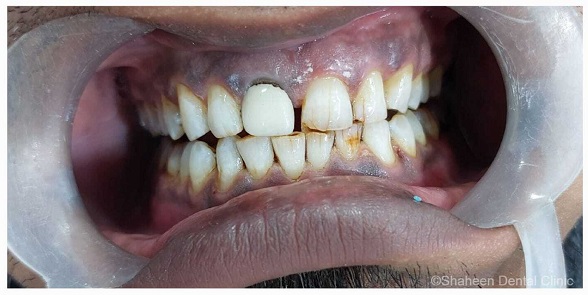
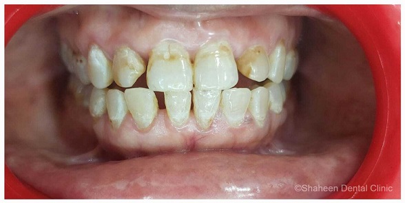
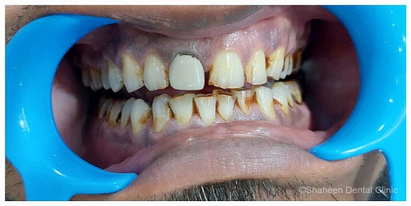
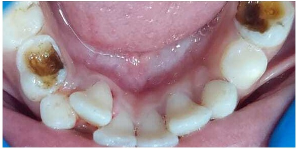
Before & After

Smile Gallery showing off all of our
best cosmetic dentistry work

General Dental Services Yakutpura

During an initial consultation your dental condition will be examined and appropriate recommendations will be suggested and explained. Depending on your oral assessment and diagnosis, patients may benefit from the following general dentistry treatments:

  • White Fillings
  • Dental Crowns
  • Root Canal Therapy
  • Dental Extractions
  • Dental Implants
  • White Fillings

Testimonials

What our patients say?

whatsapp